Blog
Special Offers
Latest News & Articles
Expert tips for maintaining teeth
6 Bright Ideas to Whiten Your Smile
A dazzling, white smile is something everyone desires. Unfortunately, not all of us are naturally...
Get Your Smile Event-Ready: Cosmetic Dentistry for Special Occasions
A captivating smile is crucial in leaving a lasting impression on special occasions. Cosmetic...
The Overall Health Ramifications of Delaying Dental Care
Dental health can be easy to overlook but essential to our overall well-being. Studies have shown...
Dental Sealants: The Advantages for Adults
A healthy smile goes hand in hand with overall well-being, and preventive measures are...
Canker Sores: Causes, Treatment, and Prevention Strategies
Canker sores, also known as aphthous ulcers, are painful, small lesions that develop inside the...
The Role of Dental Implants in Preventing Further Tooth Loss and Gum Recession
Dental implants are a popular and effective solution for replacing missing or damaged teeth. They...
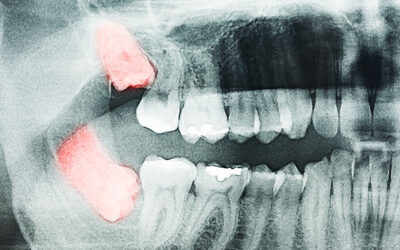
Understanding the Benefits of Wisdom Teeth Removal
Overview of wisdom teeth and why they can become impacted Wisdom teeth extraction is a necessary...
What Are the Main Differences Between Lumineers and Veneers?
Lumineers are a revolutionary form of veneer application. Unlike traditional veneers, the...
What You Need to Know About Damaged or Worn-Out Tooth Enamel
The health of your teeth and gums is dependent on excellent oral hygiene. However, even with the...










